📌 What is MRI?
MRI (Magnetic Resonance Imaging) is a safe, non-invasive diagnostic technique that uses powerful magnetic fields and radiofrequency waves to generate detailed cross-sectional images of internal organs, soft tissues, the brain, spine, joints, and blood vessels — without any radiation exposure.
🧪 How MRI Works
- The MRI machine uses a strong magnet (up to 60,000 times the Earth’s magnetic field) to align hydrogen atoms in the body.
- Radio waves are then sent through the body, and the returning signals are captured by a computer to form images.
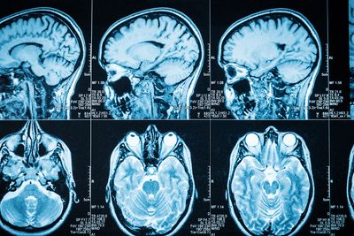
- The images are viewed in multiple planes (sagittal, coronal, axial) for better diagnosis.
🧭 Types of MRI Scans
- Brain MRI – Stroke, tumor, epilepsy, dementia, MS, infections
- Spine MRI – Disc herniation, spinal cord compression, degenerative disease
- Joint MRI – Shoulder, knee, hip injuries, ligament tears, arthritis
- Abdominal MRI – Liver, pancreas, kidney, and pelvic organs
- MR Angiography (MRA) – Blood vessels, aneurysms, vascular stenosis
- MR Venography (MRV) – Cerebral venous thrombosis
- Functional MRI (fMRI) – Brain mapping (for epilepsy, surgery planning)
- Contrast-enhanced MRI – Uses gadolinium contrast for better detail
✅ Benefits of MRI
- Radiation-free – Unlike CT or X-rays
- High resolution images of soft tissues, nerves, and blood vessels
- Early detection of disease
- Useful in neurology, oncology, orthopedics, cardiology
- MRI helps in surgical planning, staging, and monitoring treatment progress
🧍 What to Expect During the Scan
- You will lie on a sliding table.
- The table enters a tunnel-like MRI scanner.
- You must remain still.
- The machine produces loud knocking or whirring sounds.
- You may be given headphones/earplugs for comfort.
- Duration: 15 to 60 minutes, depending on the area
- Sometimes, a contrast dye (gadolinium) is injected to enhance the scan.
⚠️ Safety and Precautions
- Metal Warning: MRI is NOT suitable for patients with:
- Pacemakers
- Cochlear implants
- Certain aneurysm clips
- Metallic fragments in the eye
- Inform your doctor if:
- You are pregnant
- You have kidney disease (especially before contrast)
- You suffer from claustrophobia
- Wear loose-fitting clothes or hospital gown
- Remove jewelry, credit cards, watches, and electronic devices
🚫 Risks
- Very rare allergic reaction to contrast dye
- Claustrophobia in some patients
- Noise discomfort during scan
- Contrast safety in patients with poor kidney function (requires screening)
👨⚕️ Dr. Atul Goel (MD, DM – Neurology)
- Senior Consultant Neurologist
- Trained at JIPMER, Pondicherry
- Super-specialty All India topper
- Expertise in: Stroke, epilepsy, dementia, migraine, spine disorders
- Author of multiple national and international publications
- 10+ national/international presentations
🏥 AG Neurocity: Complete Neuro & Diagnostic Centre, Batala
- Advanced Neuro Diagnostics: MRI, CT, EEG, EMG, NCV, RNST
- Radiology Services: Ultrasound, X-ray, Dexa Scan, OPG
- Outpatient & Inpatient Facilities
- 24/7 emergency and specialized neurological care
- Friendly staff, clean infrastructure, and compassionate patient care